HISTOPATHOLOGIE  DE  L' OREILLE  MOYENNE  (CAISSE  DU  TYMPAN)


LE  CHOLESTEATOME  ET  SES  LESIONS   ASSOCIEES

                                                                         
                                                                                      


Sommaire

4 -Lésions associées au cholestéatome 

4.1- Otite moyenne  
4.2-Hyperplasie pseudo-glandulaire
4.3-Tympanosclérose
4.4- Granulomes macrophagiques
4.4.1-Granulome à cholestérol
4.4.2-Granulome à kératine  
4.4.3-Granulome mixte
4.4.4-Granulomes à corps étrangers
4.4.5- Copeaux osseux
4.4.6-Lésions diverses  
4.4.6.a-Névrome de caisse

Ces lésions affectent  essentiellement la composante conjonctive ou stroma, et, sous ce dernier, pevent s'étendre à la chaine des osselets y provoquant des lésions ossiculaires.

4 - Généralités

Bien que parmi ces lésions satellites la tympanosclérose et le granulome à cholestérol puissent être suspectés lors de l’intervention chirurgicale, leur taille est le plus souvent microscopique  et ne permet de les identifier qu’histologiquement.

      Elles sont toutes de nature inflammatoire, soit spontanées, soit iatrogènes en cas de récidive cholestéatomateuse.

On ne peut les dissocier de l’otite chronique moyenne dont l’épithélium malpighien kératinisé est plus ou moins directement responsable. En revanche, elles facilitent la progression de ce dernier par le jeu des interactions mésenchymo-épithéliales et suscitent aussi une hyperplasie pseudo-glandulaire de l'épithélium de caisse là où il subsiste. Il s’ensuit que les lésions associées au cholestéatome sont des facteurs qui stimulent et aggravent la maladie : leur exérèse chirurgicale est donc impérative.

Les unes, comme la tympanosclérose, ont été sous-estimées dans les statistiques, et d’autres, comme le granulome mixte et le granulome à kératine, généralement ignorées. Ces derniers entrent dans le cadre des granulomes macrophagiques incluant aussi certains granulomes à corps étrangers, dits antixéniques et à copeaux osseux. Ils sont iatrogènes, c'est à dire post-opératoires ou consécutifs à un traitement local, tout comme un cas exceptionnel de névrome de caisse envahissant.

4.1  - Otite moyenne   

        Lésion prédominante, elle est caractérisée au début par un simple oedème du stroma et une vaso-dilatation de ses capillaires.

Cholé,oed.,cong.
Fig. - Paroi de cholestéatome montrant de l'oedème et une vaso-dilatation
Cs, capillaires sanguins dilatés ; E, épithélium malpighien ; Ec, épithélium de caisse ; K, kératine ; S, stroma imbibé d'oedème.


     Un infiltrat inflammatoire non spécifique apoparait ensuite dans le même stroma. Cet infiltrat se compose de polynucléaires neutrophiles, lymphocytes B, plasmocytes, mastocytes et histiocytes. Il peut former  un  (ou plusieurs) foyer (s) granulomateux avec des capillaires néoformés, des fibroblastes et des hémorragies localisées (Fig.).

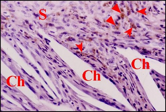
       Des polynucléaires et cellules de Langherans en émigrent vers l’épithélium malpighien sus-jacent  où leurs vimentine et proteine S100 permettent de bien les mettre en évidence (Fig.).L’afflux de ces cellules inflammatoires peut entrainer des ruptures épithéliales spontanées (ulcérations) et confirme leur agressivité envers le revêtement malpighien (Mayot & al., 1991)

        Le stroma granulomateux ainsi mis à nu peut s’épaissir en un  ou plusieurs bourgeons charnus dont la protrusion forme un «polype otique» ou «aural».

Ulcer.,granul.
 Fig. - Paroi de cholestéatome  ulcérée, avec bourgeons charnus formant un "polype"
E, épithélium malpighien interrompu par l'ulcération (U) ; G, bourgeons charnus et "polype" ; Gc, granulome à cholestérol  et hémorragies associés ; S, stroma.


        Localisée ou diffuse, modérée ou sévère, l’inflammation  ne se limite  pas aux zones évolutives du cholestéatome (Mayo & al.,1991)

        De plus, elle peut affecter la chaine ossiculaire sous-jacente et, dans certains cas, les prothèses qui y ont été insérées.

4.2 - Hyperplasie  pseudo-glandulaire

      Observée dans 53 % de nos cas, elle est reconnaissable à des cryptes glanduliformes formées par un épithélium prismatique du type « respiratoire » modifié (Fig.1,2).  

  

Epith.pseudo-gl.1
Epith.pseudo-gl.2
Fig.1 - Hyperplasie pseudo-glandulaire associée à un cholestéatome
Fig.2 - Hyperplasie pseudo-glandulaire associée à un autre cholestéatome
Ci, cellules inflammatoires ; E, épithélium malpighien ; G, pseudo-glandes ; K, kératine ; L, languette épithéliale surmontant un ostium ; S, stroma.

        Ces structures sont bien mises en évidence par les techniques histochimiques (PAS, bleu alcian) colorant leur produit de sécrétion (Fig. ) et surtout, par le marquage des cytokératines de leur épithélium (Fig.3).

Epith.pseudo-gl.4
Fig.3 - Epithélium de caisse et pseudo-glandes dérivées. Cytokératines
Ec, épithélium de caisse ; G, pseudo-glandes plus ou moins dilatées ; S, stroma


      Lorsque les «ostia» sont obturés, elles subissent souvent une transformation kystique avec amincissement de l’épithélium, rétention de mucus et afflux de macrophages (Fig.4), parfois aussi de polynucléaires qui les convertissent en micro-abcès. De plus, une métaplasie épithéliale malpighienne ou épidermoïde est (rarement) possible (Fig.5).

Pseudo-gl. kystifiée
Métaplasie malp.
Fig. 4 - Pseudo-glande obturée et kystifiée.
Fig. 5 - Métaplasie malpighienne de pseudo-glandes.
Ci, cellules inflammatoires ; E, épithélium malpighien ; G, pseudo-glandes ; H, hémorragie ; K, kératine ; M, mucus ; Mé, métaplasie épidermoïde ;  S, stroma.

4.3- Tympanosclérose

           Elle peut être définie comme une transformation fibreuse du stroma évoluant vers la scléro-hyalinisation qui en est caractéristique.
        Cette lésion est un tissu conjonctif d'abord "jeune", renfermant encore  des fibroblastes (Fig. 6), puis presque acellulaire, dense et homogène (Fig.7) ou lamelleux , se calcifiant fréquemment (dépôts calciques basophiles : Fig.8, flèches) et pouvant subir aussi une métaplasie ou métamorphose osseuse.

   Tympoanosclérose1

Tympanosclérose 2
Fig. 6 - Tympanosclérose encore "jeune" associée à un cholestéatome
 Fig. 7 -  Tympanosclérose évoluée associée à un cholestéatome.
   E, épithélium malpighien ; K, kératine ; S, stroma conjonctif ; T, tympanosclérose

Tympano.cal.
Tympano, hyperplasie
 Fig. 8 - Tympanosclérose associée à un cholestéatome et en partie calcifiée (flèches).
Fig. 9-Tympanosclérose associée à un cholestéatome et à une hyperplasie pseudo-glandulaire.
E, épithélium malpighien ; K, kératine ; Pg, pseudo-glandes ; S, stroma conjonctif ; T, tympanosclérose. Flèches : épithélium cubique de caisse dans les pseudo-glandes.

          Siégeant assez souvent au voisinage des granulomes macrophagiques et pouvant s'intriquer aussi avec une hyperplasie pseudo-glandulaire (Fig. 9), elle représente jusqu'à 40 % de nos cas.


4.4 - Granulomes macrophagiques

         Essentiellement formés par un amas de macrophages se fusionnant en cellules géantes (symplasmes) pourvues de nombreux noyaux, donc multinucléées (Fig.22 à 24), ils résultent d’une stimulation locale du stroma. Elle peut être due, soit à des corps étrangers iatrogènes qu’une précédente intervention a introduit dans l’oreille moyenne, soit aux productions pathologiques de cette denière : kératine du cholestéatome et dépôts de cholestérol.  Il s'y associe des infiltrats inflammatoires granulomateux banaux à "cellules rondes" (lymphocytes, plasmocytes) et une vasodilatation des capillaires saguins plus ou moins marquée (Fig.22).

Granul.choles.3
Fig. 10 - Granulome macrophagique  et  infiltrat à "cellules rondes". Femme, 62 ans.
Ch, cristaux cholestéroliques, Cs, capillaire; Gi, infiltrat à cellules rondes ; S, stroma. Les flèches désignent des macrophages et des cellules géantes multinucléées.


          Les cellules géantes sont du type antixénique. Par leur coloration, leur nombre et la disposition des noyaux, elles se différencient des cellules de Langhans (tuberculose), des ostéoclastes ou myéloplaxes qui sont pourvus d’une «bordure en brosse» (microvilli) et des symplasmes de la maladie de Wegener.

Symplasmes ker.1
Symplasmes chol.1
Fig.10 - Cellules géantes (symplasmes) , granulome à kératine
 Fig.11 - Cellules géantes (symplasmes) , granulome à cholestérol.
Ch, images négatives de cristaux cholestéroliques ; K, kératine ; N, noyaux de symplasmes, ces derniers désignés par des flèches ; S, stroma


  4.4.1 - Granulome à cholestérol
(23,5 % des cas)

            Déjà reconnu macroscopiquement par sa couleur dans une douzaine de cas, il montre toujours les constituants habituels de ce type de lésion : fentes aciculaires ou en forme de «cigare»  correspondant à des cristaux cholesteroliques dissous lors de la préparation des coupes (images négatives) ; macrophages et cellules géantes entourant ces cavités (Fig.25 à 31) De plus, les capillaires sanguins sont souvent dilatés et  à l'origine de  foyers hémorragiques (Fig.26). La désintégration de ces derniers est respmonsable de dépôts d’ hémosidérine, granuleux et brun-jaunâtre (Fig.28), se colorant par la technique de Perls au «bleu de Prusse (Fig.29,30). 
                Il  peut survenir aussi une hyalinisation homogène et faiblement éosinophile du stroma conjonctif séparant les fentes aciculaires (Fig.31).

                Le granulome à cholestérol est présent dans 23,5 % de nos observations.

Granul.choles.1
Granul.choles.2
Fig.12- Granulome à cholestérol et épithélium cholestéatomateux.
Fig.13- Autre granulome à cholestérol.
 Ch, images négatives de cholestérol dissous ; Cs, capillaires dilatés ; E, épithélium malpighien ; G, centre du granulome à cholestérol ; H, foyer hémorragique ;  S, stroma.  Flèches : cellules géantes de ce granulome.

Granul.choles.3
Granul.choles.4
 Fig.14 - Autre granulome à cholestérol.
Fig.15 - Granulome à cholestérol et dépôts d'hémosidérine (flèches).
Ch, images négatives de cholestérol dissous ; Cs, capillaires dilatés; Gi, granulome inflammatoire ; S, stroma. Flèches : cellules géantes (Fig.27).

Granul.choles.5
Granul.choles.6
Fig.16 - Granulome à cholestérol et dépôts d'hémosidérine (flèches),  Perls.
Fig.17 - Autre granulome à cholestérol et dépôts d'hémosidérine (flèches),  Perls.
Ch, images négatives de cholestérol dissous ;  S, stroma. Flèches : dépôts d'hémosidérine.

Granul.chol.hyal.
Fig.18 - Granulome à cholestérol dont le stroma est en partie hyalinisé
Ch, images négatives de cholestérol dissous ;  S, stroma. Flèches : hyalinisation.


  4.4.2. – Granulome à kératine  (25 % des cas).
 

            Il est du à l'implantation du contenu chlestéatomateux dans le stroma. Faiblement biréfringent en lumière polarisée, ce matériel inclus est surtout  reconnaissable à ses squames acidophiles marquées par les anticorps antikératine et à la réaction qu'il suscite dans le stroma. Les lamelles sont phagocytées individuellement par les macrophages  ou, plus souvent, logées dans des cavités arrondies ou irrégulières qu'entourent des cellules géantes multinucléées (Fig.19 à 23).

          

Granul.kératine1
Granul.kératine2
Fig. 19 - Granulome à kératine
Fig. 20 -  Autre granulome à kératine
Cg, cellules géantes  ; E, épithélium malpighien  ; G, granulome giganto-cellulaire ; K1, kératine du "sac" ; K2, kératine incluse ; S, stroma inflammatoire.

   

Granul.ker.Kl1
Granul.ker.vim
Fig. 21 - Granulome à kératine.  KL1
Fig. 22 - Granulome à kératine.  Vimentine
Cg, cellules géantes multinucléées  ; K2, kératine incluse ; S, stroma inflammatoire.


Granul.ker.vim.2
Fig. 23 - Autre petit  granulome à kératine.  Vimentine
Cg, cellules géantes multinucléées  ; K2, kératine incluse ; S, stroma inflammatoire.

    L'implantation de la kératine affecte un stroma dénudé, soit par lyse du revêtement "cubique" de caisse en avant du front de progression cholestéatomateux, soit au niveau des brèches de l'épithélium malpighien, qu'elles soient spontanées, ou provoquées dans la récidive de cholestéatome. Cette implantation semble être facilitée par le tissu de granulation préexistant, l'oedème et la vaso-dilatation.

4.4.3 – Granulome mixte (28 cas parmi les granulomes à kératine et à cholestérol)

          Dans cette lésion intéressante, les cristaux cholestéroliques  s'associent  avec du matériel corné.
          Une réaction macrophagique gigantocellulaire commune englobe à la fois des squames de kératine, dans leurs espaces irréguliers ou arrondis, parfois trés étendus, et les fentes à cholestérol, plus "géométriques".
          Ces inclusions peuvent être trés rapprochées et entourées pat des symplasmes accolés, lorsque le  foyer, d' étendue trés réduite, constitue un "microgranulome". Le cholestérol  y dérive manifestement de la kératine voisine désintégrée.

Mini granul.mixte 1
Mini granul.mixte 2
Fig.24 - Micro-granulome mixte. Homme, 24 ans. Dr.Gratacap
Fig.25 - Détail de la vue précédente (après rotation de 90°)
Cg, cellules géantes ; Ch, image négative de cristal cholestérolique ; Ci, cellules "rondes" inflammatoires ; K2, kératine incluse ; S, stroma

          La relation est moins évidente lorsque les foyers sont de plus grande taille et paraissent seulement juxtaposés, avec un simple rapport de contiguité (Fig.26 à 28). Une association est possible avec la tympanosclérose (Fig.28).


Granul.mixte 1
Granul.mixte 2
Fig.26- Granulome mixte étendu, dans le stroma d'un cholestéatome
Fig.27- Autre granulome mixte étendu
Cg, cellules géantes ;  Gc, granulome à cholestérol ; Gk, granulome à kératine ; H, hémorragie ; K2, kératine incluse; S, stroma.  Flèches : images négatives de cristaux cholestéroliques. 

Granul.mixte 4
Granul.mixte 3
Fig. 28 - Autre granulome mixte  riche en cellules géantes
Fig.29 - Autre granulome mixte avec un petit foyer de tympanosclérose
Cg, cellules géantes ; Ch, images négatives de cholestérol ;  Gc, granulome à cholestérol ; Gk, granulome à kératine ; L, lipophages ; S, stroma, en transformation tympanoscléreuse dans la Fig.29. 

          Des lipophages à cytoplasme clair,  spumeux, et à petit noyau arrondi,  sont une composante  de l'infiltrat inflammatoire (Fig.28,29). Ils se rencontrent aussi dans le granulome à kératine.

Lipophages
Fig. 29 - Granulome mixte : lipophages.
Ch, images négatives de cristaux cholestéroliques ; L, lipophages.


  4.4.4 – Granulomes à corps étrangers (G. antixéniques)  

Ils peuvent être soupconnés lorsque dans un cholestéatome déjà traité, la réaction macrophagique s’organise autour d’inclusions différant des cristaux aciculaires cholestéroliques et des squames de kératine
        Ces inclusions sont souvent difficiles à voir en lumière normale dans les  coupes histologiques car elles présentent un aspect vitreux ou cristallin, avec des contours irréguliers, incurvés ou linéaires. Leur nature étrangère est, en revanche, bien reconnaissable à la forte biréfringence qui'elle manifeste en lumière polarisée (Fig.31,33), tout comme la guanine dans l'intestin de certains  Invertébrés Arthropodes (Araignées) !.

          Il s’agit  le plus souvent de dépôts d’antibiotiques ou de corticoïdes,de fils de compresse («textilome») (Fig.30,31), de débris de verre ou d’enduit de spéculum, beaucoup plus rarement (2 cas) d’une prothèse mise en place antérieurement pour otospongiose et fragmentée dans le stroma du cholestéatome qui l'englobe (Fig.32,33).

         
O.M.Textilome 1
O.M.Textilome 2
Fig. 30- Granulome à corps étrangers (fils de compresse), femme, 40 ans.
Fig.31- Même coupe histologique, en lumière polarisée
Cs, capillaires sanguins dilatés; E, épithélium malpighien du cholestéatome ;  G, granulome ; H, foyer hémorragique ; S, stroma ; T, corps étrangers (fils) biréfringents.

       
O.M.Granul.antixen.prothèse 1
O.M.Granul.antixen.prothèse 2
  Fig.32 - Granulome à corps étranger (prothèse)
Fig. 33- Même coupe histologique, en lumière polarisée
E, épithélium malpighien du cholestéatome  ; G, granulome (symplasmes multinucléés,lymphocytes) ; P, prothèse fragmentée (biréfringente à droite) ; S, stroma

    
Les granulomes antixéniques peuvent d’ailleurs coexister avec d’autres lésions associées telles que celui à cholestérol

4.4.5  – Copeaux osseux ( 12,5 % des cas)

             Il  s'agit de spicules  irréguliers d'os nécrobiotique trouvés dans des  cholestéatomes récidivés.

Ces esquilles sont incluses en plein stroma (Fig. ), à distance des osselets, mais peuvent cependant soulever l’épithélium malpigien sus-jacent. Elles peuvent y susciter une réaction fibro-inflammatoire parfois accompagnée de cellules géantes d’aspect ostéoclastique et, dans certains cas, une ossification métaplasique secondaire évocatrice de tympanosclérose sur le plan clinique uniquement.

Copeau, granul.chol.
Fig. - Copeau osseux inclus dans le stroma d'un cholestéatome récidivé.
Cp, copeau sans réaction inflammatoire  ; Gc, granulome à cholestérol associé ; S, stroma


          Elles peuvent être considérées comme des «copeaux» que les fraisages antérieurs ont détaché de l’os temporal et que l’on ne doit pas confondre avec les petits séquestres d’une ostéolyse ossiculaire (Fig. ).

4.4.6 - Lésions diverses

4.4.6.a - Névrome de caisse
           Nous avons observé l'association d'un  névrome, vraisemblablement iatrogène, avec  un cholestéatome récidivé (Figs.34 à 36). Siégeant dans le stroma et pénétrant même dans un osselet sous-jacent, cette néoformation était constituée par des fascicules de fibres nerveuses enchevêtrés et s'intricant d'ailleurs  avec des pseudo-glandes ainsi qu'un granulome à cholestérol. L'intense positivité d'une recherche histoimmunologique de la  neurone estérase spécifique a confirmé la nature exacte de cette lésion.

Cholé, névrome 1
Cholé, névrome 2

Fig.34- Névrome associé à un cholestéatome. Homme, 51 ans. Dr Gratacap
 Fig.35- Mêmes lésions. Neurone estérase spécifique

Ch, granulome à cholestérol ; E, épithélium  malpighien du cholestéatome ; K, kératine ; N, fascicules nerveux . Flèches : pseudo-glandes 

Cholé, névrome 3
Fig.36 - Détail de la Fig.35 (après inversion).
G, pseudo-glandes ; N, fascicules nerveux


Couleurs conventionnelles (texte) :  en bleu-vert, termes d'anatomie macroscopique et d' histologie normales ; en kaki, termes désignant toutes les structures ayant une signification  pathologique, qu'elle qu'en soit l'origine ou la nature



A LA MEMOIRE DU DOCTEUR JEAN CAUSSE      Clinique Causse,  3440 Colombiers